矯正歯科
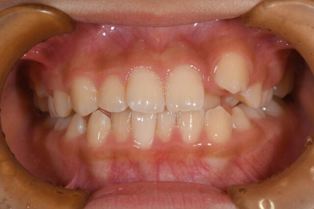
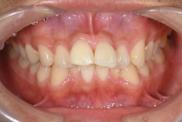
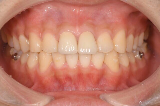
インビザライン矯正(20代女性)

Before

After
| 治療カテゴリー | インビザライン矯正 |
|---|---|
| 患者情報 | 20代女性 |
| 治療期間 | 16ヶ月(2024年12月~2026年12月) |
| 治療内容 | 患者様は前歯部のガタガタ(叢生)と過蓋咬合、上顎前歯の捻転を気にされて来院された。 前歯のガタガタによる審美性と清掃性の低下による将来的な歯周病の進行と虫歯のリスクが予想された。 インビザライン矯正(マウスピース矯正)による IPR(歯と歯の接地部分の切削)と(歯列弓)拡大遠心移動によりスペースの確保を行い前歯部の叢生の改善を行った。 |
| 費用 | 税込 880,000円 |
| リスク副作用 | ・最初は矯正装置による不快感、痛み等があります。数日~1・2 週間で慣れることが多いです。 ・歯の動き方には個人差があります。そのため、予想された治療期間が延長する可能性があります。 ・装置の使用状況、顎間ゴムの使用状況、定期的な通院等、矯正治療には患者さんの協力が非常に重要であり、それらが治療結果や治療期間に影響します。 ・治療中は、装置が付いているため歯が磨きにくくなります。むし歯や歯周病のリスクが高まりますので、丁寧に磨いたり、定期的なメンテナンスを受けたりすることが重要です。また、歯が動くと隠れていたむし歯が見えるようになることもあります。 ・歯を動かすことにより歯根が吸収して短くなることがあります。 ・歯ぐきがやせて下がることがあります。 ・ごくまれに歯が骨と癒着していて歯が動かないことがあります。 ・ごくまれに歯を動かすことで歯の神経が壊死することがあります。 ・治療中に一時的に「顎関節で音が鳴る、あごが痛い、口が開けにくい」などの顎関節症状が出ることがあります。 ・歯の形を修正したり、咬み合わせの微調整を行ったりする可能性があります。 ・矯正装置を誤飲する可能性があります。 ・装置を外す時に、エナメル質に微小な亀裂が入る可能性や可能性があります。 ・矯正終了後、保定装置を指示通り使用しないと後戻りが生じる可能性が高くなります。 ・治療後に親知らずが生えて、凸凹が生じる可能性があります。 ・加齢や歯周病等により歯を支えている骨がやせるとかみ合わせや歯並びが変化することがあります。その場合、再治療等が必要になることがあります。 ・矯正歯科治療は、一度始めると元の状態に戻すことは難しくなります。 |








