| 診療時間 | 月 | 火 | 水 | 木 | 金 | 土 | 日 |
|---|---|---|---|---|---|---|---|
| 9:30~12:50 | ○ | ○ | ○ | ○ | ○ | ○ | - |
| 13:50~18:00 | ○ | ○ | ○ | ○ | ○ | ○ | - |
休診日: 日曜・祝日

〒590-0144 大阪府堺市南区赤坂台2-5-2 赤坂台近隣センター内
泉北高速鉄道「光明池駅」よりバス10分
赤坂台近隣センター内大型駐車場完備
Correct Implant Treatment
インプラント治療の“正解”が分かる
インプラントで選ぶなら「C&Cナカイデンタルクリニック」



このような不安のため、
歯医者に行きたくても行けない。
そんな方が多くいらっしゃいます。

C&Cナカイデンタルクリニックで
治療を行うと...


その日のうちに
歯を入れることができる!


眠っている間に
治療が終わる!


天然歯と同じように
噛むことができる!


費用が
適正価格!
25年以上の
治療実績

インプラント治療の
経験豊富な
歯科医師5名

インプラント相談数3750名

患者さんトラブル0%※定期メンテナンスを
受けられている方

仮に60歳で治療を考えるとすると・・・


約32,000回
美味しく食事を
食べられる
※1日3食食べていた場合
約1,984万回
痛み・不便なく
しっかり噛める
※厚労省「H21年公民健康・栄養調査」によると
1回の食事の咀嚼回数は平均620回/11分半
約53万回
人前で若々しい
笑顔を出せる

※モンデリーズ・ジャパン2017年11月6日、

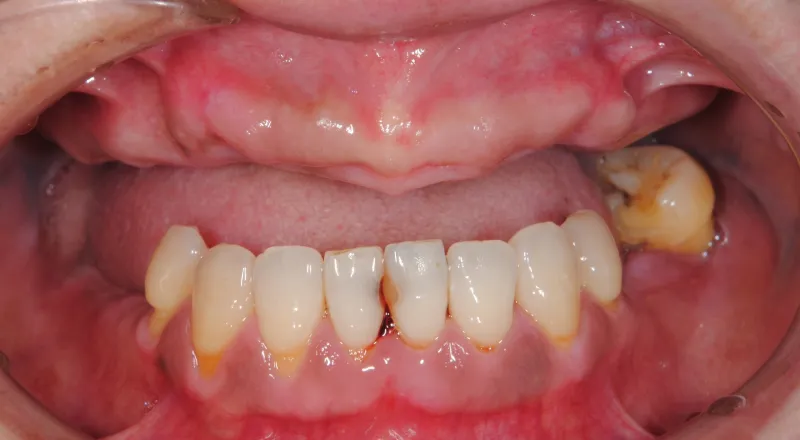
歯がボロボロ・歯がない状態を放置しておくと、虫歯や歯周病になるだけではなく、歯の移動が起こり、噛み合わせが大きく崩れ、周りの健康な歯にも大きな影響を及ぼす恐れがございます。
さらに、顎関節症や全身の病気を引き起こす可能性がございますので、早めに適切な治療を受けられることをおすすめいたします。

歯がボロボロでも
恥ずかしくありません。
怒られることも決してありません。
当院でもう一度
歯を綺麗に治しませんか?
当院はただ歯を治療するだけでなく、
患者様のその先の人生を見据えた
お口のトータルプロデュースをいたします。
少しでも歯にお悩みなら
まずはご相談ください!
Reason 1
当院では、全症例を日本口腔インプラント学会専門医が監修し、複数のドクターによるカンファレンスを経て治療計画を決定するチーム医療を実践しております。これにより、より安全な治療のご提供を実現できます。

日本口腔インプラント学会専門医とは、専門的な知識と技術を持ったインプラント学会の認定を受けたインプラントの専門医です。
全国の歯科医師数は、平成28年時点で104,533人※1、そのうち日本口腔インプラント学会専門医は、1,100名※2となり、歯科医師全体で見ると1%しかおりません。※1日本歯科医師会より
※2日本口腔インプラント学会より

Reason 2
当院は、25年以上にわたりインプラント治療を行ってまいりました。その豊富な経験と実績から患者様にとって最適な治療方法をご提案し、生涯にわたり患者様が笑顔でいられるよう全力を尽くします。

Reason 3
当院には、高度な設備を備えたインプラント専用の手術室があります。清潔に保たれた環境でのインプラント手術を可能にし、感染のリスクを最小限に抑えることができます。あらゆる機械、器具を備え、サイナスリフト、GBRなど様々なアドバンスな手術に対応可能です。

Reason 4
当院は、他院で断られた難症例のインプラント治療にも対応可能です。
高度な技術と豊富な経験を持つプロフェッショナルチームが、技術と設備を活用し、患者様の希望を叶えるために最善を尽くします。


まずはあなたの「不安」を
ご相談ください!
あなたの不安を
解消する環境が
当院にはあります。
当院はただ歯を治療するだけでなく、
患者様のその先の人生を見据えた
お口のトータルプロデュースをいたします。
少しでも歯にお悩みなら
まずはご相談ください!
虫歯、歯周病、事故などで歯を失った場合、顎骨に人工の歯根を埋め込むことで、元のようにしっかりと噛むことができます。これがインプラント治療です。今や「インプラント」は一般的な治療法の一つですが、それでも「痛くないの?」「長持ちするの?」など不安に思われることもあるでしょう。
インプラント治療は1965年から半世紀以上にわたる実績があり、現在では非常に信頼性の高い治療法となっています。入れ歯、ブリッジ、どの治療法よりも異物感が少なく、取り外しの煩わしさもありません。

インプラントは抜けた歯だけ補う治療法で、周りの健康な歯には一切影響を与えません。

インプラントは、天然歯とほぼ同様に硬い食べ物でも美味しく味わうことができ、入れ歯に比べて、味・温度・食感がはっきり感じられます。

自分の歯に近い色を装着できるので、見た目が天然歯と変わらない審美性を再現することができます。
当院では、高品質なインプラント材料と高い技術力で、自然な美しさと口腔機能を回復するインプラント治療を適正価格で受けていただけます。経験豊富なインプラントチームが患者様お一人お一人に最適な治療を、安心して受けていただけるようサポートします。


治療には
様々な選択肢があります。
まずは
お気軽にご相談ください!
当院はただ歯を治療するだけでなく、
患者様のその先の人生を見据えた
お口のトータルプロデュースをいたします。
少しでも歯にお悩みなら
まずはご相談ください!
Featuresインプラント治療の特徴
安易に「抜歯して即インプラント」ではなく、まずはご自身の歯を残せる可能性を最優先に考えます。

勘や直感に頼った手術ではなく、デジタルを活用した最新設備でインプラント治療を施します。

当院ではインプラントをいつまでも良い状態で使用していただくために、独自のプログラム「C&Cインプラントメインテナンスプログラム」を組んでおります。

静脈内鎮静法とは点滴によって意識を深いリラックス状態に導くもので、ほかのさまざまな医療でも広く使われているものです。


当院の考えるインプラント治療とは、
ただ失われた歯を補えばいい、
修復すればいいというものではありません。
「よく噛めることで
よりよい摂食機能を取り戻す」
「見た目がよくなり、笑ったり会話を
したりすることに自信が持てる」
といった心身の健康に寄与することが
最大の目的です。




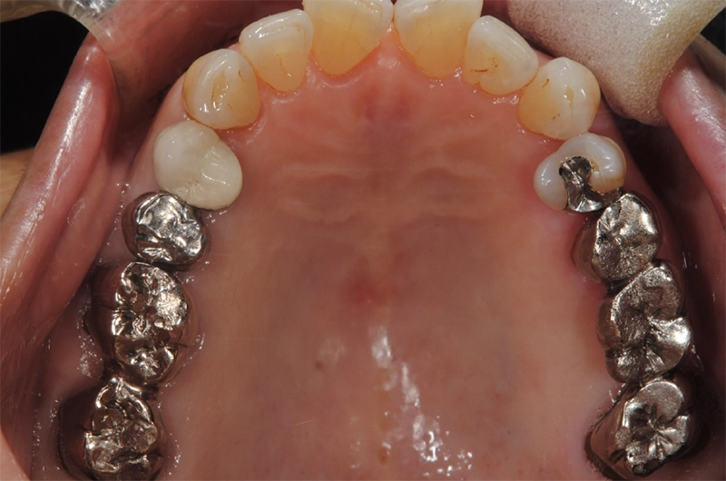
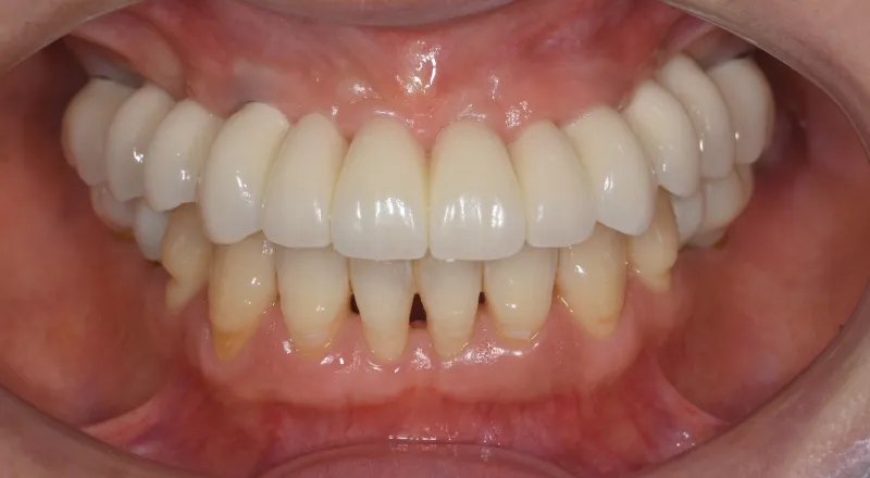
| 主訴 | 噛むと痛い |
|---|---|
| 診断名 | ⻭根破折 |
| 年齢・性別 | 70歳・⼥性 |
| 治療期間・回数 | 8ヶ⽉・6回 |
| 治療方法 | サイナスリフト、インプラント |
| 費用 | 975,700円 |
| 治療上のリスク |
|




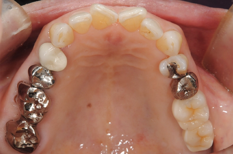
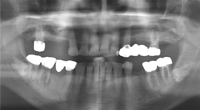
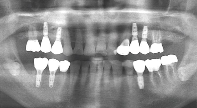
| 主訴 | 親知らずのせいで⻭をなくしてしまった |
|---|---|
| 診断名 | ⻭の⽋損 |
| 年齢・性別 | 50歳・男性 |
| 治療期間・回数 | 4ヶ⽉・4回 |
| 治療方法 | インプラント |
| 費用 | 799,700円 |
| 治療上のリスク |
|




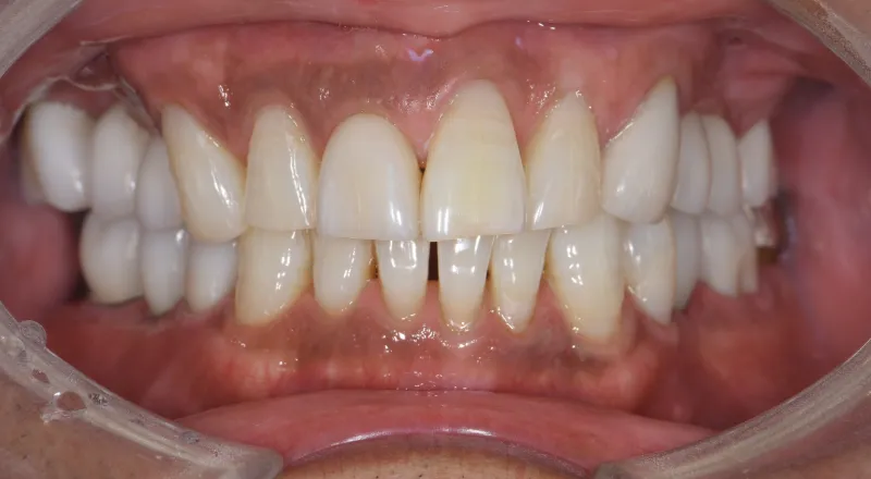
| 主訴 | 義歯が合わず食事の時に外している。しゃべり辛い |
|---|---|
| 診断名 | 義歯不適合 |
| 年齢・性別 | 50歳・⼥性 |
| 治療期間・回数 | 1年・24回 |
| 治療方法 | サイナスリフト、オールオンフォー |
| 費用 | 5,324,400円 最高プラン (費用を抑えたプランも提案可能) |
| 治療上のリスク |
|




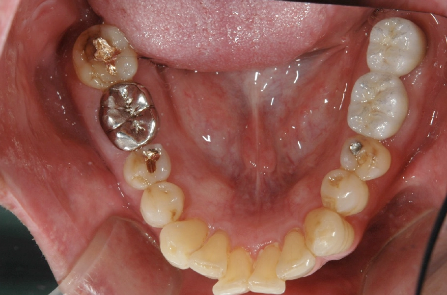
| 主訴 | 歯が抜けている。 入れ歯のところをインプラントしたい |
|---|---|
| 診断名 | 歯の欠損、義歯不適合 |
| 年齢・性別 | 63歳・男性 |
| 治療期間・回数 | 1年3ヶ月・33回 |
| 治療方法 | 精密根管治療、ジルコニアクラウン、GBR、インプラント、ホワイトニング |
| 費用 | 3,949,000円 最高プラン (費用を抑えたプランも提案可能) |
| 治療上のリスク |
|


当院はただ歯を治療するだけでなく、
患者様のその先の人生を見据えた
お口のトータルプロデュースをいたします。
少しでも歯にお悩みなら
まずはご相談ください!
Price List料金と当院では、デンタルローンによる分割払いをご用意しておりますので、月々のお支払い金額を少額で治療を行うことが可能です。詳しくは、当院までお気軽にご相談ください。
治療完了から5年間は、メインテナンス間隔が6ヶ月を超えないことを条件とし、治療が必要になった場合、これにかかる費用は頂きません。5年以内でもメインテナンス間隔が一度でも6ヶ月を超えた場合と5年経過以降は治療費が発生します。


Treatment Flow治療の流れSTEP1 無料初診相談
現在のお口の悩みなどをお聞きします。全身疾患や服薬についてもお聞きし、必要に応じてかかりつけ医師に情報提供を仰ぎます。
STEP2 検査
レントゲン、CT、口腔内写真など診断に必要なデータをお取りします。
STEP3 カンファレンス
担当医とその他複数の歯科医師によるカンファレンスを行います。意見交換によりベストな治療プランの立案が可能となります。
STEP4 治療計画の説明
治療法、期間、費用等について説明いたします。同意を頂けたら手術に進みます。
STEP5 1次オペ
インプラント体を骨に埋め込む手術を行います。
STEP6 2次オペ
1次オペから3〜6ヶ月後、骨と結合したインプラント体の上に、土台となる部品を取り付ける手術を行います。手術の状態によっては、この行程を省く場合があります。
STEP7 治療完了
1次オペから1.5ヶ月〜8か月後、形取りをし、上部構造を作製、装着します。
Doctor Informationドクター紹介食事は健康と美容の源
歯のことなんか忘れて、
食事を楽しむ!
充実した人生を過ごす!

私は1997年よりインプラント治療を手がけて参りました。
インプラント治療は、歯を削る、抜くなどの治療と異なり、歯を取り戻す、とてもポジティブで前向きな治療です。
歯でお困りの多くの方にインプラントの恩恵を受けていただきたいという思いで、日々研鑽を続け、診療にあたっております。
歯のことなんか忘れて、充実した日々を過ごし、豊かな人生を送って頂きたい、それが私の願いです。

現在の歯科治療において失った歯を補う処置としてインプラント治療は最良の治療法だと考えております。そして、歯科治療の発展とともに、私が歯科医師になった10数年前に比べると、歯科医師にとっても患者様にとっても身近な治療法となりつつあります。
その反面、たくさんある歯科医院の中でどこで治療を行えば良いのだろうか?と悩まれる患者様の声を多く伺います。
当院では治療の質に拘っており、豊富な知識と臨床経験を持った歯科医師がインプラント治療に携わり、患者様の10年、20年先の健口を考えた治療を行っております。インプラント治療をご検討の方はまず当院にご相談下さい。

インプラント治療が一般の方に適応され始めた1960年代から今日に至るまで60年以上の歴史をかけインプラント技術は著しく進歩してきました。ただし外科的侵襲を伴うため、肉体的、精神的ストレスがあり抵抗感がある方も多いと思います。
多くの歯を喪失され義歯が合わずに悩まれている方、審美的な前歯を喪失し義歯やブリッジに抵抗がある方、その他の部位でもインプラントとはどんな物なのかご興味がある方。どんなことでもご相談していただければお答えします。
今もなお発展を続けているインプラントの世界の中で、私達も日々切磋琢磨して新しい技術を身につけるため邁進していきます。
よろしくお願いします。

インプラントが他の治療と違うのは、『歯を足す』ことができることです。ブリッジや入れ歯などは、歯のない部分を補う為に他の歯を犠牲にする治療法です。一度手を加えた歯は長い目で見ると新たな問題が生じる可能性があります。
インプラントは他の歯を犠牲にせず治療でき、長く他の歯を残すことができる治療法です。適応には条件がある為、まずは相談、検査から提案致します。

本院である堺市南区のC&Cナカイデンタルクリニックにて、泉北を予防先進地域に、泉北で歯科先進治療を理念にこれまで研鑽をつみ16年目を迎えました。
一般診療はもちろん、インプラント、ホワイトニング、歯周組織再生治療を含めた歯周病治療、成人および小児矯正等の各種先進医療を幅広く診療しております。特に歯周外科治療とマウスピース矯正においては得意としている分野であり、研修や学会にも積極的に参加して参りました。
口腔内の診察に加え、ご希望を伺い、不安や悩みをお聞きする事で、幅広い治療計画のなかから患者様にベストな治療方針を一緒に考え、治療を進めて参ります。小さなお子様から大人の方まで地域の皆様に安心して通っていただけるかかりつけ歯科医を目指し、日々努めて参ります。
当院はただ歯を治療するだけでなく、
患者様のその先の人生を見据えた
お口のトータルプロデュースをいたします。
少しでも歯にお悩みなら
まずはご相談ください!


〒587-0002
大阪府堺市美原区黒山1008番地
ビバモール美原南インター
メディカルゾーン2F
近鉄「河内松原駅」より近鉄バスで、
「国道黒山」下車 徒歩1分



〒590-0144
大阪府堺市南区赤坂台2-5-2
赤坂台近隣センター内
| 診療時間 | 月 | 火 | 水 | 木 | 金 | 土 | 日 |
|---|---|---|---|---|---|---|---|
| 9:30~12:50 | ○ | ○ | ○ | ○ | ○ | ○ | - |
| 13:50~18:00 | ○ | ○ | ○ | ○ | ○ | ○ | - |
休診日: 日曜・祝日